Welcome to Dr. Loubnan Abou Madi's clinic where compassionate care meets medical expertise in women's health. Dedicated to guiding you through every stage of life with personalized gynecological and obstetrics services. Your well-being is our priority.
Welcome!
A Name You Can Trust
in Women's Health
Every patient is treated with a personalized approach, where medical excellence meets compassion, clarity, and trust.

Comprehensive Women's Healthcare
Our Medical Services
High-Risk Pregnancy Care
Specialized monitoring and management of complex pregnancies, ensuring the safety and well-being of both mother and baby.
Fertility & IVF Treatments
Advanced assisted reproductive technologies, including in-vitro fertilization (IVF), designed to support couples on their journey to parenthood.
4D Ultrasound & Diagnostic Imaging
Growth capability is a system's ability to scale and adapt, meeting increasing demands and evolving needs for long-term success.
Infertility & Endoscopic Procedures
Tailor the platform to your needs, offering flexibility and control over your user experience.
Comprehensive Prenatal & Postnatal Care
Full pregnancy follow-up from early stages through delivery and recovery, ensuring continuous medical support
Cosmetic Gynecology
Advanced procedures focused on both functional and aesthetic aspects of women's intimate health.
Patient-Centered Counseling & Education
Clear guidance, education, and emotional support to help patients make informed decisions about their health.
Surgical Care
Specialized surgeries including breast and urinary bladder procedures performed with precision and modern techniques.
Providing expert care across every stage of a woman's health journey with precision, compassion, and trust
12000+
Deliveries (NVD & C- section)
17+
Years of Experience
3000+
Gynecological Surgeries with Excellent Outcome
Your well-being comes FIRST- Always
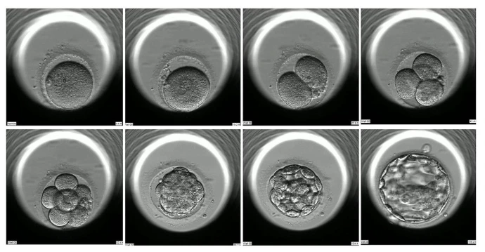
Artificial Intelligence AI Choosing your healthy BABY
AI embryoscopy is a new technology in IVF to help choose the best embryos for pregnancy. It uses smart computer programs to study how embryos grow and find the healthiest ones.
This makes the process faster, more accurate, and increases the chances of success. With AI embryoscopy, more families can achieve their dream of having a baby.
Dedicated to the health and well-being of mothers and children. We provide expert gynecology and obstetrics care, ensuring a safe and outstanding experience throughout pregnancy, children, and beyond. Your journey is our priority.
Dedicated Pregnancy Care
Prenatal Monitoring
Regular check-ups to ensure healthy development at every stage.
Advanced Ultrasound
4D imaging and precise monitoring for mother and baby safety.
High-Risk Pregnancy Care
Specialized management for complex or high-risk cases.
Continuous Support
Ongoing guidance, reassurance, and medical follow-up throughout pregnancy.

Top questions answered
You should schedule a visit if you experience any unusual symptoms such as pain, irregular cycles, or discomfort or simply for routine check-ups. Preventive care is essential to maintaining long-term health.
You can reach our clinic by calling +961 71 226 672 (WhatsApp available on this number) or +961 8 822 664. Our Dedicated team is available to assist with any questions or concerns.
We are committed to providing compassionate and effective care to ensure your comfort and satisfaction.
Our clinic specializes in comprehensive obstetrics and gynecological care. We tailor our medical services to meet the unique needs of women at every stage of life, ensuring their health and well-being.
- In-Vitro Fertilization
- High Risk Pregnancy Care
- 4D Ultrasound
- Infertility-Endoscopy
- Surgery of Breast and Urinary Bladder
- Assisted Reproductive Technology
- Cosmetic Gynecology
Yes, Dr Abou Madi provides complete pregnancy care from early diagnosis and routine follow-ups to ongoing monitoring, ensuring both mother and baby receive the highest level of attention.
The Dr is present in Beirut for 3 days
- Mount Lebanon Hospital- Hazmieh
- Levant Hospital- Sin El Fil
- Ever Young Clinic- Ashrafye
- Lebanese Military Hospital- Badaro
A Legacy of Trust Built with Over 100,000+ Patients
The care you deserve
Every patient is welcomed into a space where medical expertise meets genuine compassion.
With Dr Loubnan you will experience:
A discreet, comfortable, and respectful environment.
Clear and honest communication at every step.
Advanced medical expertise and precise diagnosis.
Continuous support throughout your health journey.
Contact our clinic